What is Teeth Whitening by a Dentist
Teeth whitening by a dentist is a cosmetic dental procedure designed to lighten the shade of your teeth. It’s a popular choice for people looking to enhance their smiles and boost their confidence. Unlike over-the-counter options, professional teeth whitening provides more effective and faster results due to the higher concentration of bleaching agents and the expertise of a dental professional. The process involves applying a bleaching agent, usually hydrogen peroxide, to the teeth. This agent breaks down stains and discoloration, making the teeth appear whiter and brighter. The entire process is carefully monitored by the dentist to ensure the safety and effectiveness of the treatment. It’s an ideal solution for people who have stained or discolored teeth from factors such as aging, coffee, tea, smoking, or certain medications.
How Teeth Whitening Works
The core mechanism of teeth whitening involves a chemical reaction, usually oxidation. The bleaching agent, typically hydrogen peroxide or carbamide peroxide, penetrates the enamel and dentin of the teeth. These agents break down the stain molecules, which are organic compounds, into smaller, less noticeable particles. This process is effective because the bleaching agents can reach the discolored molecules within the tooth structure without significantly harming the tooth itself. The intensity and duration of the treatment, along with the concentration of the bleaching agent, determine the degree of whitening achieved. Dentists often use a special light or laser to accelerate the process, enhancing the breakdown of the stain molecules and achieving faster results. This method is more controlled and monitored than at-home kits, ensuring both effectiveness and safety.
Teeth Whitening Dentist Consultation [Preparation]

Before undergoing a teeth whitening procedure, a consultation with a dentist is essential. The dentist will evaluate your oral health, including checking for cavities, gum disease, or other dental issues that might need to be addressed before whitening. They’ll discuss your expectations, assess the current shade of your teeth, and determine the best whitening approach. During the consultation, the dentist may take photos of your teeth to track progress and provide a more accurate assessment. You’ll also discuss any sensitivities or allergies you have. Preparation may involve a thorough dental cleaning to remove plaque and tartar, as this allows the whitening agent to work more effectively. The dentist will also explain the procedure, what to expect, and provide aftercare instructions. This personalized approach ensures the procedure is both safe and effective, tailored to your specific needs.
The Teeth Whitening Procedure [Step-by-Step]
The in-office teeth whitening procedure typically involves several steps. First, the dentist will protect your gums and soft tissues using a protective gel or a rubber shield. This is crucial to prevent irritation from the bleaching agent. Next, a high-concentration bleaching solution is applied to the surface of your teeth. Depending on the product and the dentist’s preference, a special light or laser may be used to activate and enhance the bleaching process. The bleaching agent is usually left on the teeth for a set amount of time, typically 15 to 30 minutes. This process might be repeated several times during the same appointment, depending on the desired results and the product used. After each application, the dentist will remove the bleaching agent and evaluate the results. The entire process usually takes about one to two hours, providing immediate and noticeable results.
Teeth Whitening Aftercare
After a teeth whitening procedure, proper aftercare is crucial to maintaining the results and minimizing any potential sensitivity. You’ll likely be advised to avoid certain foods and drinks that can stain your teeth, such as coffee, tea, red wine, and dark-colored berries, for at least the first 24 to 48 hours. Smoking should also be avoided, as it can quickly re-stain your teeth. Your dentist may recommend using a desensitizing toothpaste to alleviate any tooth sensitivity. Regular brushing and flossing are essential to maintain good oral hygiene and the longevity of your whitening results. Follow-up appointments may be scheduled to monitor your progress and address any concerns. Regular dental check-ups and cleanings are important to keep your teeth healthy and bright.
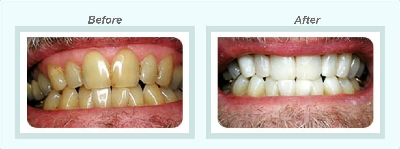
Teeth Whitening Results [What to Expect]

The results of professional teeth whitening can be dramatic, often providing immediate and noticeable improvements in the shade of your teeth. Most patients experience a change of several shades lighter after a single in-office treatment. The degree of whitening depends on factors such as the initial shade of your teeth, the type of stains, and the chosen whitening method. Results vary, and some individuals may see more dramatic changes than others. It’s essential to manage expectations, as the results aren’t always uniform across all teeth. The dentist will discuss realistic outcomes during your consultation. The results are usually very satisfying, offering a significant boost to your smile’s appearance. Maintaining the results involves proper aftercare, including dietary considerations and regular dental hygiene. Touch-up treatments may be needed periodically to maintain the desired level of whiteness.
How Long Does Teeth Whitening Last
The longevity of teeth whitening results varies depending on several factors, including the type of whitening procedure, your oral hygiene habits, and your lifestyle. In-office whitening can last from several months to up to three years. At-home whitening kits usually provide results that last for shorter periods. Regular maintenance, such as using whitening toothpaste and avoiding staining foods and drinks, can help extend the duration of the whitening. Smoking and poor oral hygiene can significantly reduce the lifespan of the whitening effects. Periodic touch-up treatments may be necessary to maintain the desired level of whiteness. It’s important to follow your dentist’s recommendations for post-whitening care to maximize the duration of your results.
Benefits of Dentist Teeth Whitening
Professional teeth whitening by a dentist offers numerous benefits. The most significant advantage is the effectiveness of the procedure. Dentists use stronger bleaching agents than those available in over-the-counter products, leading to faster and more dramatic results. The procedure is also safer, as a dentist can protect your gums and soft tissues from irritation and monitor your teeth for any adverse reactions. Professional whitening allows for a customized approach, as the dentist can tailor the treatment to your specific needs and the shade of your teeth. It boosts confidence and enhances your smile, contributing to a more youthful and attractive appearance. Additionally, a dentist can identify underlying dental issues during the consultation, addressing any potential problems before they worsen. Choosing professional teeth whitening provides the best combination of effectiveness, safety, and personalized care, ensuring a brighter, healthier smile.
Teeth Whitening Costs

The cost of teeth whitening varies based on several factors, including the type of procedure (in-office vs. at-home), the dentist’s fees, and the geographic location of the practice. In-office whitening is typically more expensive than at-home treatments, as it involves a more complex procedure and requires the expertise of a dental professional. At-home whitening kits provided by a dentist are generally more costly than over-the-counter options but offer better results and professional supervision. It is important to discuss the cost and payment options with your dentist during your consultation. Some dental insurance plans may cover a portion of the cost, especially if the whitening is deemed medically necessary. Comparing prices from different dental practices in your area can help you find the most cost-effective option. Remember to consider the value of the procedure, including the long-term benefits for your oral health and appearance.
Finding the Right Dentist for Teeth Whitening
Choosing the right dentist for teeth whitening is crucial for achieving the best results. Start by researching dentists in your area and checking their credentials and experience. Look for dentists who specialize in cosmetic dentistry and have a good reputation. Read online reviews and testimonials to learn about other patients’ experiences. During your initial consultation, pay attention to the dentist’s communication style and their ability to answer your questions thoroughly. Ensure the dentist uses modern techniques and high-quality products. Ask about the dentist’s experience with teeth whitening procedures and request to see before-and-after photos of their previous patients. Verify that the dental practice follows strict hygiene and safety protocols. It’s essential to feel comfortable and confident with your dentist, as this will ensure a positive and successful teeth whitening experience, leading to a brighter, more confident smile.
