Understanding Barrie Teeth Whitening Options
Achieving a brighter, more confident smile is a common goal, and thankfully, residents of Barrie have access to a variety of teeth whitening options. From professional treatments administered by dental experts to convenient at-home kits, the possibilities are vast. Understanding these options is the first step towards making an informed decision about what’s best for your individual needs and desired results. This guide will help you navigate the landscape of Barrie teeth whitening, providing insights into the different methods, their pros and cons, and what you can expect from the process. Proper research ensures you can confidently choose a path to a dazzling smile, enhancing both your appearance and self-esteem.
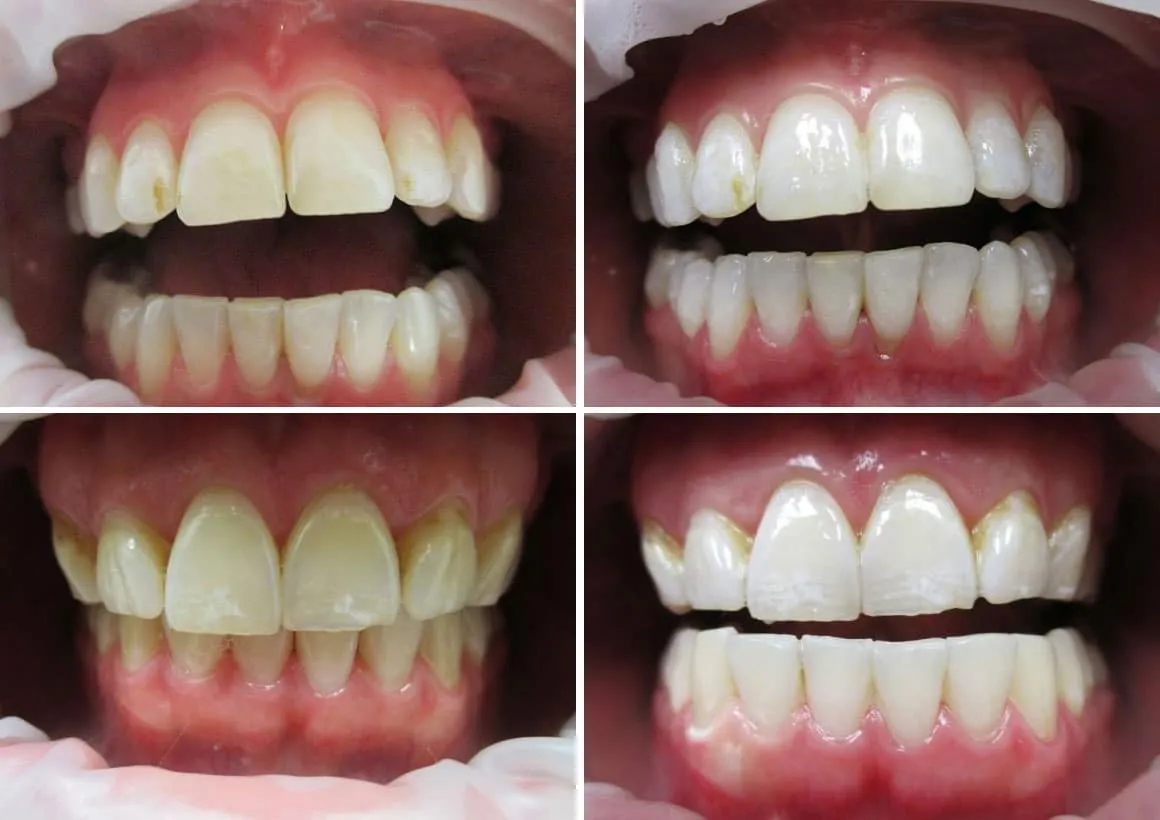
Professional Teeth Whitening in Barrie
For those seeking the most effective and often quickest results, professional teeth whitening in Barrie, performed by a qualified dentist or dental hygienist, is the top choice. This method provides the highest concentration of bleaching agents, carefully applied under controlled conditions to minimize risks and maximize whitening potential. Professional treatments are tailored to your specific needs, accounting for the shade of your teeth and the severity of any staining. This ensures a personalized approach, often leading to significantly brighter results in a single appointment or a series of appointments. Furthermore, dental professionals can address any underlying oral health issues that might impact the whitening process, providing a comprehensive approach to a healthier, more radiant smile.
In-Office Whitening Procedures

In-office teeth whitening procedures in Barrie offer the advantage of immediate results. These treatments typically involve the application of a high-concentration hydrogen peroxide gel to the teeth, which is then activated by a special light. This light accelerates the bleaching process, often lightening teeth several shades in a single session. Before the procedure, the dentist will protect your gums and soft tissues, minimizing any potential irritation. The entire process, including preparation and aftercare instructions, usually takes about an hour or two. The convenience and dramatic results make in-office whitening a popular choice for those seeking a quick and effective smile transformation. Consult your Barrie dentist to determine your candidacy and suitability.
At-Home Whitening Kits
At-home whitening kits offer a more convenient and budget-friendly alternative to professional treatments for Barrie residents. These kits typically include custom-fitted trays or pre-formed strips containing a lower concentration of bleaching agent than professional treatments. While the results may take longer to achieve, at-home kits allow you to whiten your teeth in the comfort of your home, fitting into your daily routine. Consistent use as directed is crucial for achieving the desired results. Before starting any at-home whitening regimen, it’s recommended to consult your dentist to ensure your teeth and gums are healthy and to discuss the best type of kit for your specific needs. They can also guide you on how to use the kit safely and effectively.
Custom Trays vs. Over-the-Counter Kits
Within the realm of at-home whitening, you have two main options custom trays and over-the-counter kits. Custom trays, provided by your Barrie dentist, are made to perfectly fit your teeth, ensuring even application of the whitening gel and minimizing the risk of the gel leaking onto your gums. This results in more effective whitening and reduces the chances of sensitivity. Over-the-counter kits, on the other hand, often come with pre-formed trays or strips that are designed to fit a wide range of mouths. While these are more readily accessible and typically less expensive, they might not provide the same level of precision or comfort as custom trays. Consider your individual needs, sensitivity levels, and budget when deciding between these two options. Consulting your dentist can help you make an informed decision.
Choosing the Right Whitening Method for You

The best teeth whitening method for you in Barrie depends on several factors, including your current oral health, the severity of staining, your budget, and your desired results. Professional in-office whitening is often the quickest and most effective solution, ideal for those seeking immediate and dramatic changes. At-home kits offer a more affordable and convenient option, though results may take longer to appear. Custom trays, prescribed by your dentist, offer a balance of effectiveness and safety, while over-the-counter kits provide easy accessibility. A consultation with your Barrie dentist is essential to discuss your options and determine the best approach for your individual needs. They can assess your oral health, recommend the most suitable treatment, and provide guidance on how to achieve and maintain a brighter smile.
Factors to Consider Before Whitening
Before embarking on any teeth whitening journey in Barrie, there are several factors to consider. Your dentist will evaluate your overall oral health, looking for any underlying issues like cavities, gum disease, or existing dental work that might need attention before whitening. The type and severity of stains on your teeth also play a crucial role in determining the best whitening method. For instance, intrinsic stains, those within the tooth structure, may require a different approach than extrinsic stains, which are on the surface. Your lifestyle choices, such as smoking and consuming stain-causing foods and drinks, will also influence your results and the longevity of your brighter smile. Considering these factors in consultation with your dentist helps ensure safe, effective, and lasting whitening.
Sensitivity and Side Effects
Teeth whitening treatments, whether professional or at-home, can sometimes cause temporary side effects. Tooth sensitivity is the most common, with some people experiencing increased sensitivity to hot or cold foods and beverages. Gum irritation may also occur, especially if the whitening agent comes into contact with the gums. These side effects are typically mild and temporary, resolving within a few days after treatment. Your dentist in Barrie can provide tips to minimize sensitivity, such as using toothpaste designed for sensitive teeth or applying fluoride treatments. It is also important to follow the instructions carefully to avoid excessive exposure to the whitening agent. Open communication with your dentist ensures you can manage any side effects effectively.
Cost of Whitening Treatments

The cost of teeth whitening treatments in Barrie varies widely depending on the method chosen. Professional in-office whitening is typically the most expensive option, but offers the fastest and most dramatic results. At-home kits are generally more budget-friendly, with the cost depending on whether you choose custom trays or over-the-counter options. The price of custom trays will include the dentist’s fees for impressions and fitting. Consider your budget, desired results, and the long-term value of a brighter smile when evaluating the cost. It’s a good idea to ask your Barrie dentist for a detailed breakdown of the costs associated with each treatment option and to inquire about payment plans or financing options that might be available.
Maintaining Your Bright Smile After Whitening
Once you’ve achieved your desired level of brightness with teeth whitening in Barrie, maintaining your results is key. This involves a combination of good oral hygiene practices, mindful dietary choices, and regular dental checkups. By taking these steps, you can extend the life of your brighter smile and prevent future staining. Remember that while whitening treatments can significantly improve your smile’s appearance, they are not permanent. With proper care and attention, you can enjoy your dazzling results for a long time to come.
Oral Hygiene Practices
Maintaining good oral hygiene is crucial for preserving your whitened smile. Brush your teeth at least twice a day with a fluoride toothpaste, and floss daily to remove plaque and food particles. Consider using a whitening toothpaste to help maintain brightness, but be mindful of its abrasiveness. Regular professional cleanings by a dental hygienist in Barrie are also essential to remove surface stains and plaque buildup, keeping your teeth looking their best. Consistently practicing good oral hygiene will not only help maintain your bright smile but also contribute to your overall oral health.
Dietary Considerations

Your diet plays a significant role in the longevity of your whitened teeth. Certain foods and drinks can stain your teeth, undoing the effects of your whitening treatment. Minimize your consumption of dark-colored beverages like coffee, tea, red wine, and soda. Be cautious of deeply colored foods, such as berries, soy sauce, and curries. If you do consume these items, rinse your mouth with water immediately afterward or brush your teeth after a reasonable time frame. By making informed dietary choices, you can significantly prolong the benefits of your teeth whitening in Barrie.
Regular Dental Checkups
Regular dental checkups are essential for maintaining your bright smile and overall oral health. Your dentist in Barrie can monitor the condition of your teeth and gums, addressing any issues that may affect the appearance of your smile. Professional cleanings will remove any surface stains that may have accumulated, and your dentist can provide personalized recommendations for maintaining your results. Schedule regular appointments to ensure any problems are caught early, and receive expert advice to keep your teeth looking their whitest and healthiest. Routine dental visits are a key part of preserving your investment in teeth whitening.
